So Not Humorous
It's been a busy week here. Connor lost his first top tooth (finally) on Wednesday, and the other won't be far behind. But the real craziness for him happened Thursday. The trio stay at school in their after school program until Aaron or I can get them. They love it, and have tons of fun, including being able to play in the playground. The kids have been getting more courageous lately, and trying to do more and more physically. Thursday was a beautiful day, so of course the playground was the place to be.
My phone rang on my work line and my cell phone, while I was on a call. Then Aaron alerted me that Connor had gotten hurt and needed us to get him. The seriousness in the voicemail had me quickly at the school door. He had tried to skip past some of the monkey bars, and fell hard, straight onto his left arm. They had some ice on it and a makeshift sling, but it was obvious how much pain he was in. One of the ladies who had helped him quietly cautioned me that it didn't look good. Something very sweet to note, both Caden and Jordyn were literally crying for Connor because they didn't want him to be hurt so badly. They were worried sick over their brother. Even further, Caden chose to sleep in Jordyn's room last night rather than without Connor in their room. Now that is a sibling bond for sure! It's nice to know your siblings have your back like that!
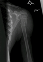
Our brand new hospital recently opened and was the closest, so off we went. Everyone we encountered was so nice, and they also gave him something for the pain pretty quickly. From the moment they cut off his shirt, it was easy to see a break was obvious. The x-ray technician brought me to the x-ray directly and it didn't take any words from her for the tears to come to my eyes - the picture said it all. It was very obvious this situation wasn't good. His humerus was completely cracked in half, and not lined up. Not humorous at all. See for yourself:

An orthopedic surgeon explained he'd give Connor some analgesic to make him groggy and unaware, and he'd try to manually reset the bone back into place. After he came out of that, he didn't remember any of it, but I always will. Watching his eyes dilate and him slip into another zone was very difficult. Worse was watching the doctor try to wretch the bones back in place. Seeing some tears fall from his eyes made mine do the same. I couldn't watch most of it, but I was glad I could be there. He came out of it pretty quickly and easily, and said he had a happy dream. Unfortunately the x-ray confirmed what the doctor thought: it was not successful. Surgery with full anesthesia would be required. After I kissed his head and watched him wheel away, I lost it. So scared for my sweet boy. Surgery...such a nasty fracture...what could I have done to prevent it...what could I do to change it...would a different doctor have been able to secure it. Nothing to do but wait and try to keep my worst fears and thoughts from overtaking me.
The surgery itself lasted two full hours. The surgeon said it was a very clean break, but that wasn't good for keeping the bone in place. He ended up needing an open incision, along with three pins to secure the fracture. The break is very high near his shoulder, so he will wear an immobilizing brace for a while to promote healing. All I can say is luckily it's his left arm since he is right handed.
After being away from him for almost 4 hours, they brought me to the recovery area. He hadn't woken up yet, so I was there when he did. He did pretty good, just the normal disorientation and shivering. They kept him comfortable and at least his pain was well under control. It was 2:30 am before we arrived at his hospital room for overnight observation. He rested well, other than the 2 hours of 15 minute checks, and then 1/2 spans after that. He was able to eat a good breakfast and we were discharged shortly afterward. We have some pain medicine and are just taking it hour by hour at this point. He was always in good spirits when he was awake, and always telling the nurses how much he liked it there, and what good care they took care of him. He was definitely full on sweetheart.
As a mom, this was so incredibly hard for me. All I can say now is I'm so thankful everything turned out ok in the end. We'll have a long recovery with the location of the injury and the 3 protruding pins, but hopefully the bone will heal with no problems. I am currently exhausted beyond belief, but wanted to write this update for the many caring friends and family we have that need an update. We will of course keep you updated as to his progress.